Themenseite Lungenentzündung
Themenseite - Lungenentzündung
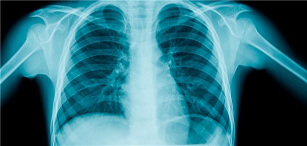
Erfahrungen aus der pädiatrischen Notaufnahme
Pneumonie bei Kindern ausschließen: Auf das Röntgenbild ist offenbar Verlass
22.07.2025
|
Erfahrungen aus der pädiatrischen Notaufnahme
Pneumonie bei Kindern ausschließen: Auf das Röntgenbild ist offenbar Verlass
09.05.2025
|
Sie fragen – Experten antworten
Pneumokokken-Impfung: Wann und mit welchem Impfstoff auffrischen?
Podcasts
„ÄrzteTag“-Podcast
Was rät die STIKO aktuell zum Schutz gegen schwere Atemwegsinfekte und COVID-19, Herr Bogdan?
„ÄrzteTag“-Podcast
Wie sich Intensivmediziner auf die zweite Corona-Welle vorbereiten
„ÄrzteTag“-Podcast
Beatmungstherapie bei COVID-19-Patienten – Quo vadis?
Meinung













